8月27日和28日,在姜淑娟教授的带领下,我院呼吸与危重症医学科呼吸介入团队分别在局麻和全麻下为两例周围型肺结节患者成功开展了电磁导航支气管镜活检术。
患者一因咳嗽、咳痰伴胸闷、喘憋半月余入院。胸部CT示左肺上叶升支2.8cm╳3.6cm肿块,有毛刺、分叶及胸膜牵拉。考虑为恶性肿瘤。常规支气管镜下并未发现异常,仅见到左肺上叶升支黏膜略充血水肿。

图1:胸部CT 图2:普通支气管镜下未见明显异常
该患者既往有哮喘多年,考虑当前为急性发作期,全麻风险较大,于8月27日下午实施局麻下电磁导航支气管镜活检术。根据目标路径找到左肺上叶升支气管,应用ENB探头按照既定路径找到目标病灶,锁定俏管,进R-EBUS找寻到典型声像图,退出EBUS后予以活检刷检。

图3:路径规划图

图4:R-EBUS
术中取到两块较大组织,准备再次予以矫正位置的时候病人哮喘发作,予以停止手术观察,吸氧后逐渐稳定,安返病房。目前初步病理考虑为腺癌,等待进一步免疫组化结果。
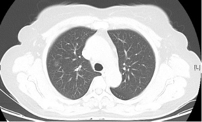
患者二,健康体检发现右肺GGO、左下肺病变。当地医院建议左下肺切除,待身体恢复后再行右肺GGO切除。该患者来我院后行双源CT检查,考虑左下肺高度怀疑肺隔离症或先天性结构性肺病可能性大,右肺上叶GGO约8-9mm性质待定。

图5:胸部CT示右上肺GGO
目前获取病理的手段包括CT下经皮肺活检、MR下经皮肺活检、B超下经皮肺活检、支气管TBLB,这些方法对于该病人右肺GGO均难以获取病理组织。为明确诊断在全麻下予以电磁导航支气管镜活检术。全麻气管插管后,常规支气管镜检查未发现异常。根据目标路径找到左肺下叶背段支气管,应用ENB探头按照既定路径找到目标病灶,锁定俏管,进R-EBUS找寻到典型声像图,退出EBUS后予以活检刷检。同样方法于右肺上叶前段活检刷检。

图6:病例二右上肺GGO路径规划图

图7:病例二右上肺GGO暴风雪征

图8:姜淑娟教授操作电磁导航支气管镜

图9:王星光医师操作电磁导航支气管镜

图10:局麻下实施电磁导航支气管镜
电磁导航支气管镜(Electromagnetic Navigation Bronchoscopy,ENB™),是现代电磁导航技术、虚拟支气管镜和三维CT成像技术相结合的新一代支气管镜检查系统。该系统如同肺部的GPS导航系统,能够建立一条直达肺内病灶的精准诊疗通道。通过这条通道,可以实现对肺内病灶的诊断、分期、植入定位和未来的微创治疗。
医院领导和呼吸与危重症医学科非常重视此项技术的开展,曾派业务骨干王星光医生赴日本国立癌中心专门学习,也为此次操作的顺利进行奠定了坚实的基础。以上手术操作得到了上海肺科医院顾晔教授和美敦力技术顾问胡宝情先生的现场指导,同时也得到了我院手术室、麻醉科、胸外科、病理科、细胞室的大力支持。
我院呼吸介入团队在姜淑娟教授的带领下,先后在省内率先开展了TBNA、EBUS-TBNA等技术。目前引进电磁导航支气管镜技术,打破了传统支气管镜不能探及外周小结节的瓶颈,将为全省肺小结节患者提供更加安全有效、精准微创的诊疗保障。
作者:宣传处 常璇