近期,山东第一医科大学附属省立医院(山东省立医院)东院肝胆外科常宏主任团队,成功实施世界首例保留部分脾脏胰体尾切除术,弥补国际两大通用保脾术式不足,手术取得良好疗效。经查新检索,此前未发现同类文献的新技术报道。
保留脾脏的远端胰腺切除术主要用于切除胰腺体尾部的良性或低度恶性肿瘤。如今,国际上通用的手术方式有两种,即保留脾血管的Kimura术式和不保留脾血管的Warshaw术式。Kimura 术式通过分离脾血管和胰腺以保留脾动静脉,在切除胰体尾病灶的同时,可通过保留的脾动静脉维持脾脏的血液循环。然而,当脾血管尤其是脾静脉被肿瘤包绕,局部炎症较重,或脾静脉与肿瘤粘连致密,均会增加Kimura 术式操作难度,操作过程中易损伤脾血管导致Kimura术式失败,往往需改行Warshaw术式。Warshaw术式同时切除脾动静脉主干及胰体尾病灶,使脾脏血供由胃短动脉和胃网膜左动脉供应。Warshaw术式虽操作相对容易,但切除脾动静脉主干后脾脏血供减少,回流受阻,易导致一系列并发症,如脾梗死、区域性门脉高压等。Warshaw术后,出现脾脏缺血坏死,通常需实施全脾切除术。大量研究证明脾脏在免疫系统中起重要作用,全脾切除后可能导致多种并发症,如血小板增多症,血栓形成,脾切除术后脓毒症,严重者可发生致命性感染。尤其是合并有心脑血管疾病的中老年患者,全脾切除术后血小板增多往往是心脑血管疾病的危险因素,需长期服用抗血小板药物治疗,进一步增加患者经济负担。
此手术患者为胰腺体尾部良性肿瘤,经术前评估可能术中无法有效实施Kimura术式和Warshaw术式。针对临床实践中遇到的新问题,在以往脾良性肿瘤行脾部分切除术的成功经验基础上,东院肝胆外科负责人常宏主任医师详细查阅资料,报医院伦理委员会审批,中国临床试验中心注册,国家卫健委医学研究登记平台备案,签署患者知情同意书,为上述原本不能保留脾脏的患者成功实施了保留部分脾脏胰体尾切除手术,切除胰体尾病灶的同时避免了全脾切除的弊端。
常宏主任医师介绍,既往研究已证实脾部分切除术治疗脾脏占位病变的安全性和可行性。胃网膜血管、胃短血管和胃后血管在脾胃之间建立了重要的侧支循环。脾结肠韧带内的血管有助于脾脏下极的血液供应,为保留部分脾脏提供了解剖学基础。研究证实仅保留5%-30% 的脾脏可维持脾脏功能。此外,残余脾脏在术后第一年内表现出代偿性生长,部分脾脏可保留恢复正常脾功能潜质。

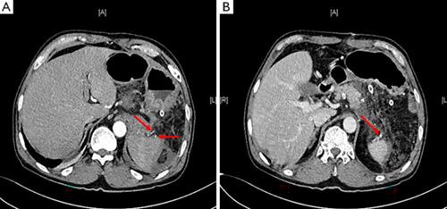
术前CT扫描和三维重建:
(A) 术前CT显示胰体尾部囊性病变(红色箭头),与脾血管毗邻关系密切;
(B)三维重建显示肿瘤与脾血管之间边界模糊(绿色箭头:脾静脉;白色箭头:脾动脉;红色箭头:胰尾病变)。
患者术后定期门诊复查血常规,观察血小板变化趋势,行上腹强化CT评估残脾血供及存活情况。术后恢复良好。

术后血小板变化曲线:两例患者术后1月血小板均恢复平稳。

术后增强CT扫描:动脉期可见残余脾脏多个供血动脉分支(红色箭头);静脉期可观察到残余脾脏静脉回流通畅(红色箭头)。

常宏主任表示,省立医院领导高度重视并鼓励医学科技创新。普外科在李乐平副院长带领下发展迅速,科研成果丰硕,力求打好关键核心技术攻坚战。新形势下,东院肝胆外科勇于探索成功完成保留部分脾脏胰体尾切除术,这种新手术方式也是医学科技创新理念的具体体现。此外,该成果已在SCI收录杂志Gland Surgery以外科新技术论著形式发表。经国际同行评议,该新手术方式弥补了目前国际上现行两大常规保脾术式,Kimura术和Warshaw术式的不足。目前科室正在逐步联合各胰腺外科中心积极研究并推广该新手术方式。

该新手术方式的实施标志着我院微创保留脾脏胰体尾切除技术治疗胰腺体尾部良性或低度恶性肿瘤已处于国际领先水平。常宏主任受邀参加山东省医师协会肝胆外科学术年会及第六届腹腔镜肝胆胰论坛,就该技术做大会宣讲。
东院肝胆外科
科室负责人:
常宏
科室简介:
省立医院东院肝胆外科是集医疗、教学与科研三位一体的综合性科室,是山东省临床重点专科,山东大学及山东第一医科大学博士、硕士学位授予单位科室。科室自成立以来发展迅速,已成为山东省内技术力量雄厚、人才梯队合理,在山东省乃至国内具有重要影响力和学术地位的重点科室。科室拥有一批技术精湛、医德高尚的专家团队,拥有一支作风优良、业务精干的护理队伍,并有一批勇于探索、积极进取的优秀青年才俊。科室目前共有主任医师4名,副主任医师3名,副研究员2名,主治医师4名,住院医师3名,泰山学者青年专家1名,均为博士学位。博士后合作导师3名,博士生导师3名,硕士生导师9名。护理团队21人。科室开放床位45张,年收治病患近1700人次,完成各类手术近1400台,腔镜/机器人微创手术占比约85%。病源范围辐射全省16地市及河北、河南、江苏等周边地区。