技术引领
【技术创新走在前】山东第一医科大学附属省立医院小儿心脏科主任韩波教授团队完成山东省首例儿童磁共振兼容心脏起搏器植入术
近日,山东第一医科大学附属省立医院(山东省立医院)儿科主任、小儿心脏科主任韩波教授团队成功完成山东首例儿童3.0T磁共振兼容心脏永久起搏器植入手术。
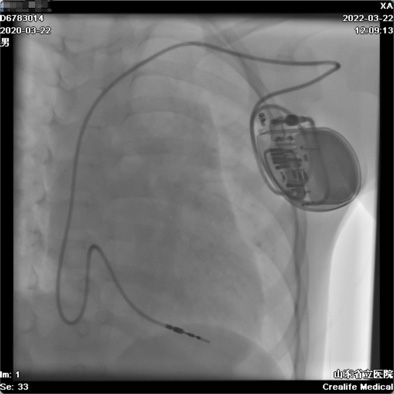
患儿为2岁男孩,宫内即发现心率明显减慢,诊断为先天性Ⅲ度房室传导阻滞,平均心率仅39次/分,入院前1天突发晕厥1次,亟需植入心脏永久起搏器。在院领导及相关部门大力支持下,小儿心脏科全体医务人员进行了病例讨论并为患儿做好了充分的术前准备。3月22日上午8:30,在介入诊疗中心,小儿心脏科主任韩波教授为患儿成功植入了磁共振兼容永久起搏器,测试起搏器各项功能良好,患儿安返病房。
目前,临床常用的传统心脏起搏器进行磁共振检查是绝对禁忌的,因为磁共振可以导致起搏器故障、诱发严重心律失常、加热电极导线头端损伤心肌甚至心肌穿孔等,对患儿产生直接的危害。而磁共振兼容心脏起搏器在进行磁共振检查前,可将起搏器程控为磁共振检查模式,检查结束后,再改为原先的模式,解决了患儿起搏器植入后无法进行磁共振检查的弊端,且此款起搏器无体位及时间限制,非常适合后期有核磁共振检查需求的患儿。儿童植入该款起搏器,从生活质量及潜在的临床检查等方面获益巨大。



山东第一医科大学附属省立医院(山东省立医院)小儿心脏科在韩波教授的带领下,2004年在省内率先开展儿童起搏器植入术治疗完全性房室传导阻滞与病态窦房结综合征,2016年在省内率先植入儿童双腔永久起搏器,2018年完成省内首例儿童ICD植入术,同年植入省内首例儿童心外膜永久起搏器,迄今已完成儿童心脏病介入手术逾6000例,其中儿童永久起搏器植入术50余例,是山东省开展小儿心脏病介入手术时间最早、种类与数量最多、质量最好的科室,跻身于全国先进行列。此次磁共振兼容心脏起搏器的成功植入,标志着医院小儿心脏科在起搏器的植入和临床应用再上新台阶。

