医院动态
装了起搏器还能做核磁?山东第一医科大学附属省立医院成功实施超声引导下高位室间隔核磁兼容起搏器植入术
近日,山东第一医科大学附属省立医院(山东省立医院)东院急救中心副主任、主任医师胡波带领团队成功为1名62岁的老年患者实施超声引导下高位室间隔核磁兼容起搏器植入术,这是我院首次在临床使用核磁兼容起搏器。
62岁的吴先生身患心房颤动多年,近期出现头晕晕厥症状。为查明原因,吴先生来到省立医院东院急救中心就诊。经过详细的检查,他被诊断为心房颤动伴长间歇(最长间歇3.46秒)且有晕厥症状,符合起搏器植入的适应症。
那么植入什么起搏器呢?
吴先生长年患有心房颤动(房颤),而房颤患者易引发脑卒中,也就是我们常说的“中风”。与普通人比,房颤患者发生脑卒中的风险增高5倍。脑卒中一旦发生,其后果往往十分严重。吴先生就面临这个难题:如果植入传统起搏器,那么此后将严禁进行核磁共振检查,因为核磁检查时强大的磁场会对起搏系统产生严重的影响,而核磁共振检查(MRI)又是脑卒中诊断最为有效的手段。经过充分的考量,吴先生确定植入核磁兼容起搏器,免除后期核磁检查之忧。
5月11日上午,在介入诊疗科技师和护士的大力配合下,主任医师胡波、副主任医师季宪飞、主治医师任金林成功为吴先生实施了手术。房颤患者心衰风险较大,有研究表明右室高位间隔部起搏相比于右室心尖部起搏可减少对患者心功能的不利影响,而且相比于心尖部,间隔部心肌组织较厚,可大大降低术后电极穿孔风险。手术中,胡波等采用心脏彩超对电极进行精确定位,心超结果显示电极被牢固固定在高位间隔。患者术后反应良好。


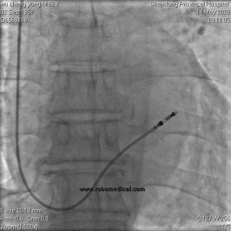
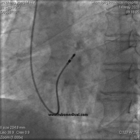
右心室主动电极植入后
右前斜以及左前斜位影像

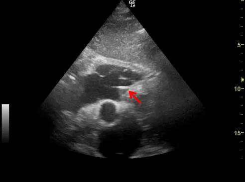
心脏超声图像,
红色箭头显示电极植入部位


手术植入以及超声定位电极位置
核磁共振检查(MRI)是现代医学广泛应用的检查手段,广泛应用于肿瘤、神经、骨骼、肌肉等病变的影像检查。但是核磁检查时强大的磁场会对起搏系统产生严重的影响,因而长期以来,核磁共振检查是传统起搏器植入术后病人的绝对禁区。兼容核磁起搏器有效解决了起搏患者对核磁检查的需求,对于有颅脑部、肿瘤以及骨关节疾病的患者来说,是一种“鱼与熊掌可兼得”的优化方案。

