医院动态
【青年英才】山东省立医院肿瘤中心丛蕾:肿瘤精准治疗时代不可忽视的少见/罕见驱动基因突变

丛蕾,中共党员,医学博士,山东省立医院肿瘤中心化疗科副主任医师。山东省立医院首批“青年英才计划”入选人员,兼任山东省医师协会肿瘤精准医疗医师分会青年协作组副组长、山东省老年学学会生物靶向治疗专委会头颈学组副组长、山东省医师协会精准药物治疗专业委员会委员、山东省抗癌协会生物治疗分会委员等。主要研究方向为非小细胞肺癌的基础与临床研究,主持肺癌领域国家自然科学基金(青年项目)1项、山东省自然科学基金1项,另外作为研究骨干参与国家自然科学基金2项。获2018年山东省科技创新奖二等奖,获“2017年度工会活动积极分子”、“2018年度优秀党员”等荣誉称号。近三年代表山东省立医院多次参加中国抗癌协会临床肿瘤协作专委会(CSCO)、山东省医师协会及各大医院举办的肿瘤多学科综合治疗(MDT)、青年菁英演讲比赛、中青年辩论赛等团体或个人比赛,获“一等奖”、“最佳表现奖”、“最佳辩手”等奖项。
近年来,随着分子检测的普及,越来越多的少见及罕见突变在临床诊疗中被发现。这一类型的突变有什么特点?又应该如何治疗?今天,我们将为大家分享来自山东省立医院肿瘤中心化疗科副主任医师丛蕾诊治的一例“罕见”突变的病例。
肿瘤是异质性极强的疾病,这体现在不同的患者可以由不同的驱动突变而导致疾病的发生、发展。在肺癌领域,已经确认近10种驱动基因突变,在中国人群中,EGFR突变率最高,约为40%。其他少见/罕见突变,包括ALK、ROS1、KRAS、BRAF、HER-2、RET及MET基因的突变率均小于10%,甚至多数突变频率少于5%,另有近20%的患者目前尚未发现明确的驱动基因突变。EGFR的突变通常发生在18-21外显子上,其中19号外显子缺失(19del)及21号外显子L858R点突变是最常见的突变类型,约占整个EGFR突变的85%以上,这部分患者对TKI类药物响应良好,因此称之为经典突变。目前针对经典突变已经有了第一、二、三代治疗药物。一代治疗药物包括吉非替尼、厄洛替尼和埃克替尼,既往10项多中心、大型、前瞻性研究证实一代治疗药物可以给患者带来约10个月的无进展生存时间(PFS);二代治疗药物包括阿法替尼及达克替尼,其中位PFS分别为11个月和14个月;而三代药物奥西替尼,一线治疗的中位PFS约为18个月。
TKI类药物的应用已经大大改善了患者的预后,目前患者整体的总生存已经从化疗时代的1年左右提高到目前的40个月左右。而今年ASCO会议上公布的一线化疗联合靶向治疗的数据,患者中位的OS达到了52.3个月。除上述两种突变外,18-21外显子上还存在其他的突变,主要包括18G719X、E709X、Del18,19外显子上的Ins19、20外显子上的Ins20、S768I,21外显子上的L861Q及复合突变,这些突变所占的比例相对较小,且类型多样,因此对他们的了解不如对经典突变那么深入。考虑到我国较大的发病人群基数,尽管这些驱动基因检出率较低,但仍然是一个值得探索及关注的领域。
下面是一例晚期非小细胞肺癌取得很好治疗效果的病例,患者石XX,67岁女性,2017年5月因当地医院化疗效果不佳、病情加重入住医院化疗科。入院时患者因广泛胸膜转移而胸痛难忍,夜间无法入睡。同时因当地医院化疗导致严重的胃肠道、血液学及神经毒性,重度骨髓抑制,双下肢及双上肢肌力III级,无法站立及行走,左手不能握持物品,感觉异常。在患者以为治疗陷于困境时,我们发现当地医院对患者做出的“基因检测阴性”判断仅为常见的几个突变位点检测,当即给予患者补充了罕见突变的检测,结果正是少见的EGFR突变 G719X(X for A/S/C),依据经验和大量临床研究的数据支持,给予患者阿法替尼靶向治疗,取得了近乎完全缓解的疗效且避免了化疗带来的多种不良反应,患者胸痛完全缓解同时不良反应消失。
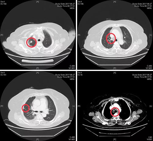
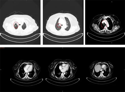
以下为影像学资料
2017年5月医院治疗前胸腹部强化CT:右肺上叶占位、右肺多发小结节、纵隔淋巴结肿大并增强扫描时强化。

胸腹部强化CT:右侧胸膜条状、结节状增厚并强化。提示胸膜转移。

2017年10月治疗后患者CT提示病灶明显缩小,胸膜广泛转移病灶消失。

2018年10月查CT仍控制良好。患者至今仍在随诊,未有肿瘤进展,肿瘤接近完全缓解。

 
 
 
 
 
 
 
 
 
 
 
 
 
 
 
 
 
 
 